implantologie

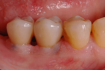
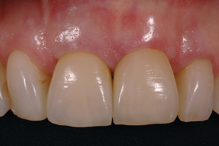
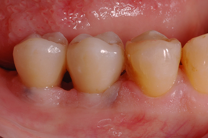
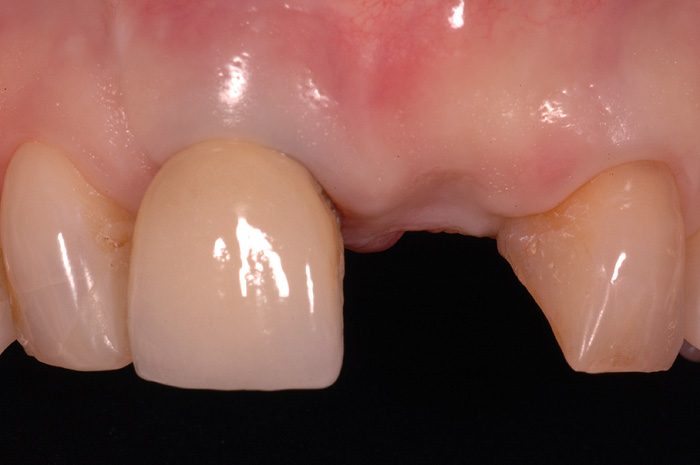
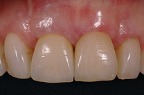
Ein Implantat ist eine schraubenförmige, künstliche Zahnwurzel aus Titan. Das Implantat dient als Fundament für einen Zahnersatz, entweder eine festsitzende Krone oder als eine Prothesenverankerung.

Ich verwende hauptsächlich das seit Jahrzehnten erprobte Implantatsystem der Firma Thommen Medical aus Grenchen sowie das Implantatsystem von ITI Straumann aus Waldenburg.

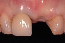
Entscheidend bei der Anwendung von Zahnimplantaten ist die sorgfältige Fallplanung. Dazu benötigt man eine klinische Untersuchung, Modelle und Röntgenbilder. So kann die Machbarkeit der Implantation abgeklärt werden. Die Diagnostik wird zeigen, ob genügend Knochen für die Verankerung eines Implantates vorhanden ist und welche Risiken abzuwägen sind. Risikofaktoren sind schwere Allgemeinerkrankungen, unkontrollierter Diabetes, Rauchen und eine unbehandelte Parodontitis. Der operative Eingriff erfolgt ambulant in der Zahnarztpraxis mit einer normalen örtlichen Betäubung. Die Operation ist absolut schmerzfrei. Die unmittelbaren Folgen des operativen Eingriffes wie Schwellung, Schmerzen oder Bluterguss können unterschiedlich stark ausfallen und klingen aber vollständig ab. Eine ungestörte Einheilung ist Bedingung für den Langzeiterfolg der Implantate.

Vor einer Implantation ist somit die Sanierung der eigenen Zähne und die Etablierung einer guten Mundhygiene absolute Voraussetzung. Die sorgfältige Mundhygiene und die regelmässigen Kontrollen durch unser Prophylaxeteam und durch den Zahnarzt sind unerlässlich. Je nach Knochenqualität und -quantität muss zwei bis sechs Monate gewartet werden bis die Implantate belastet werden können.

Die Implantation ist eine Behandlungsmethode mit einer hohen Erfolgsrate von über 95%. Mehrere Langzeitstudien belegen, dass die Erfolgsrate von Zahnimplantaten nach 10 Jahren über 90% beträgt. Eine bei uns In der Praxis haben wir eine Studie mit mehr als 1000 Implantate, die von mir implantierten wurden, durchgeführt. Auch diese Studie zeigt eine Erfolgsquote von über 95 % nach 10 Jahren. In meiner Praxis werden wöchentlich Implantate gesetzt, wir sind also ein erfahrenes und routiniertes chirurgisches Team!